![]() |
|
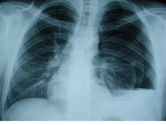
Zwerchfellhochstand links: funktionell restriktive Ventilationsstörung (Thorax pa) |
![]() |
|
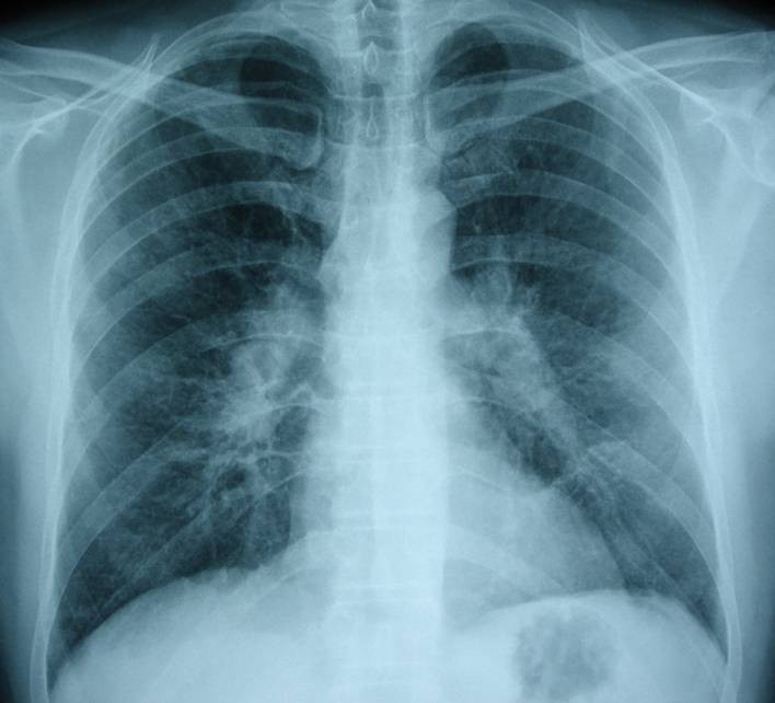
Enterothorax: Hernierung von Dünn- und Dickdarm in den Thorax; daneben Herzvergrößerung bei chronischem Cor pulmonale; funktionell restriktive Ventilationsstörung (Thorax pa) |
![]() |
|
Thoraxdeformität bei Muskeldystrophie; funktionell restriktive Ventilationsstörung (Thorax ap liegend) |
![]() |
|
Thoraxdeformität bei schwerer Kyphoskoliose; funktionell restriktive Ventilationsstörung (Thorax ap liegend) |
![]() |
|
Dyspnoe infolge Adipositas |
![]() |
|
Pneumothorax: Sero-Pneumothorax links (Thorax pa) |
![]() |
![]() |
|
Verkalkte Hiluslymphknoten (o. und u.; Thorax in 2 Ebenen) |
![]() |
|
Lungenemphysem: große Bullae rechts (Thorax-CT) |
![]() |
|
Pleurosis calcarea rechts (Thorax pa) |
![]() |
|
Pleurosis calcarea links: Panzerlunge; ausgeprägte Verkalkung der linksseitigen Pleura mit Mediastinalverziehung nach links (Thorax pa) |
![]() |
|
Pneumonie: Oberlappenpneumonie rechts (Thorax links seitlich) |
![]() |
|
Pneumonie: Unterlappenpneumonie rechts; nebenbefundlich Piercing linke Brustwarze (Thorax pa) |
![]() |
![]() |
|
Pneumonie: Lingulapneumonie (Thorax links seitlich anliegend (o.) und pa (u.)) |
![]() |
|
Abszedierende Pneumonie links mit Pleuraempyem (Thorax pa) |
![]() |
|
Multiple einschmelzende Lungenherde bei septischen Lungenembolien; nebenbefundlich kleine Pleuraergüsse beidseits; Drogenabhängiger mit Leistenabszess und septischer tiefer Venenthrombose der V. femoralis communis rechts (Thorax-CT) |
![]() |
|
Pyothorax: Totalverschattung des linken Hemithorax; Mediastinalverschiebung nach rechts (Thorax pa) |
|
|
|
|
|
Tuberkulose: beiderseitige flaue Infiltrate, betont in den Oberlappen, links ausgedehnter als rechts (Thorax pa) |
|
|
|
|
|
Tuberkulose: linksseitige Infiltrate in Ober- und Unterlappen, tuberkulöse Kaverne (Pfeile) in der linken Lungenspitze (Thorax pa) |
|
|
|
|
|
Tuberkulose: linksseitige Infiltrate in Ober- und Unterlappen, tuberkulöse Kaverne im linken Oberlappen (Thorax pa) |
|
|
|
|
|
|
|
Pneumocystis jiroveci-Pneumonie: AIDS bei HIV-Infektion (oben Thorax pa, unten Thorax-CT) |
|
|
|
|
|
Kryptogen organisierende Pneumonie, COP (Thorax-CT) |
|
|
|
|
|
M. Osler; Metallspiralen zur Verödung von AV-Fisteln nach pulmonalen Hämorrhagien ; Z. n. DDD-Schrittmacher-Versorgung (Thorax pa) |
|
|
|
|
|
Histiozytosis X; nebenbefundlich Ektasie der A. pulmonalis (Thorax pa) |
|
|
|
|
|
|
|
Histiozytosis X; z. T. konfluierende Zysten mit dünnen Wänden im Lungen-Oberfeld (a) und -Mittelfeld (b) unter Aussparung der Lungenbasis (c; Thorax-CT) |
|
|
|
|
|
|
|
Lungenfibrose im radiologischen Verlauf: oben Januar 2011, unten Januar 2014 (gleiche Patientin; Thorax pa) |
|
|
|
|
|
|
|
Lungenfibrose: idiopathische pulmonale Fibrose (IPF); typisches radiologisches Bild einer Usual Interstitial Pneumonia (UIP) mit subpleural betonten Milchglasverschattungen, Honigwabenlunge und Entwicklung von Traktionsbronchiektasen; Thorax-CT; oben: axialer Schnitt; unten koronaler Schnitt) |
|
|
|
|
|
|
|
|
|
Kartagener-Syndrom: Situs inversus und Bronchiektasen links ausgeprägter als rechts (oben Thorax pa; Mitte und unten Thorax-CT) |
|
|
|
|
|
|
|
|
|
Scimitar-Syndrom: Dextroposition des Herzens durch Hypoplasie des Mittel- und Unterlappens der rechten Lunge in Kombination mit einer partiellen Lungenvenenfehleinmündung; das venöse Sammelgefäß aus rechtem Mittel- und Unterlappen mündet - im pa-Bild deutlich sichtbar - in die untere Hohlvene und drainiert damit in den rechten Vorhof; ihr gebogener Verlauf erinnert an einen türkischen Säbel = Scimitar) |
|
|
|
|
|
Sarkoidose: bihiläre Adenopathie bei M. Boeck (Thorax pa) |
|
|
|
|
|
|
|
Sarkoidose: bihiläre Adenopathie bei M. Boeck (Thorax in 2 Ebenen (a u. b)) |
|
|
|
|
|
Sarkoidose: bihiläre und mediastinale Lymphome bei M. Boeck (Thorax-CT) |
|
|
|
|
|
Amiodaron-Pneumopathie (Thorax-CT) |
|
|
|
|
|
|
|
Alveolarproteinose (a Thorax pa; b Thorax-CT) |
|
|
|
|
|
Peripheres Bronchialkarzinom rechts (CT) |
|
|
|
|
|
Peripheres Bronchialkarzinom: CT-gesteuerte Punktion |
|
|
|
|
|
Zentrales Bronchialkarzinom: Tumoreinbruch in den rechten Hauptbronchus auf Höhe der Carina; Pleuraerguss rechts (Thorax-CT) |
|
|
|
|
|
Bronchialkarzinom: Tumoreinbruch in den rechten Unterlappenbronchus mit Verschluss des Unterlappenbronchus unmittelbar nach Abgang des Mittellappenbronchus (Plattenepithelkarzinom; flexible Bronchoskopie; ML Mittellappenostium) |
|
|
|
|
|
Bronchialkarzinom der linken Lunge (Plattenepithelkarzinom; Thorax pa) |
|
|
|
|
|
Bronchialkarzinom der rechten Lunge (Plattenepithelkarzinom); nebenbefundlich Emphysem (Thorax pa) |
|
|
|
|
|
Bronchialkarzinom: einschmelzendes Bronchialkarzinom des rechten Oberlappens (NSCLC), Zwerchfellhochstand rechts (Thorax pa) |
|
|
|
|
|
Bronchialkarzinom: zentrales kleinzelliges Bronchialkarzinom (Thorax-CT) |
|
|
|
|
|
Bronchialkarzinom: Anaplastisches Karzinom (Thorax pa) |
|
|
|
|
|
Bronchialkarzinom: Anaplastisches Karzinom (Thorax-CT) |
|
|
|
|
|
Maligner Pleuraerguss: 3,5 cm große subpleurale Metastase (Pfeile) eines kontralateralen Bronchialkarzinoms (PlE Pleuraerguss; Pleurasonographie) |
|
|
|
|
|
Maligner Pleuraerguss: Totalverschattung des rechten Hemithorax bei malignem Pleuraerguss infolge Bronchialkarzinom (Thorax pa) |
|
|
|
|
|
Einschmelzende Lungenmetastasen (Urothelkarzinom; Thorax pa, Ausschnitt) |
|
|
|
|
|
Pleuramesotheliom: Pleuramesotheliom rechts mit Pleura-Plaques (Thorax-CT) |
|
|
|
|
|
Sarkom: kindskopfgroßes Sarkom dorsal im rechten Hemithorax mit Kompression des linken Vorhofs (Thorax-CT) |
|
|
|
|
|
Mediastinaltumor: Dorsalverlagerung des Herzens mit Kompression des rechten Ventrikels durch großen Tumor im vorderen Mediastinum (Non-Hodgkin-Lymphom), Pleuraergüsse beidseits (Thorax-CT) |
|
|
|
|
|
Kopfgroßer Tumor im rechten Hemithorax mit Kompression des rechten und linken Vorhofs (Thorax-CT) |
|
|
|
|
|
Situs inversus: alles seitenverkehrt (Thorax pa) |
|
|
|
|
|
Zahn im Bronchus intermedius (Thorax pa) |
|
|
Cookies
Bei Cookies handelt es sich um kleine Textdateien, die auf Ihrer Festplatte dem von Ihnen verwendeten Browser zugeordnet gespeichert werden und durch welche der Stelle, die den Cookie setzt, bestimmte Informationen zufließen.
Technisch notwendige Cookies
Diese Cookies sind notwendig, um die Grundfunktionen der Internetseite zu gewährleisten und können nicht deaktiviert werden. Üblicherweise werden sie als Antwort auf bestimmte Aktionen des Anwenders aktiviert, wie z. B. ein Login oder das Speichern der Datenschutzeinstellungen. Wenn Sie auch diese Cookies nicht wünschen, dann können Sie als Anwender grundsätzlich alle Cookies für diese Domain in den Browsereinstellungen unterbinden. Eine fehlerfreie Funktionalität dieser Internetseite kann dann aber nicht gewährleistet werden.
Verwendete Cookies:
Analytische Cookies
Diese Cookies werden für statistische Erhebungen eingesetzt und ermöglichen u. A. die Besucher dieser Seite und Seitenaufrufe zu zählen sowie die Herkunft der Seitenbesuche auszuwerten. Mit den Cookies sind wir in der Lage zu bestimmen, welche Inhalte unseren Besuchern am meisten gefallen und wie sie sich auf unserer Internetpräsenz bewegen.
Verwendete Cookies:
Funktionscookies
Diese Cookies ermöglichen eine bessere Funktionalität und eine Anpassung an Userpräferenzen z. B. für abgespielte Videos. Diese Cookies werden von externen Dienstleistern gespeichert. Die Deaktivierung dieser Cookies kann ausgewählte Funktionalitäten beeinflussen.
Verwendete Cookies:




















