In Kooperation mit dem Institut für Diagnostische und Interventionelle Radiologie unseres Hauses verfügt die Kardiologie bei gegebener Fragestellung (Myokarditis / Herzmuskelentzündung, kardiale Tumoren, Pumpleistung, Myokardnarben, Vitalitätsdiagnostik, Koronarkalk / Kalklast, Darstellung der Herzkranzgefäße) neben der High-End-Echokardiographie mit Kardio-MRT (Kernspin-Tomographie) und Kardio-CT (Computer-Tomographie) über weitere Möglichkeiten der nichtinvasiven Bildgebung auf höchstem technischen Niveau. Die kernspintomographische (Kardio-MRT) und computertomographische (Kardio-CT; 128 Schichten) Diagnostik erfolgt im Institut für Diagnostische und Interventionelle Radiologie unseres Hauses.
![]() |
|
Halsrippe rechts (Pfeil); nebenbefundlich Struma, Zwerchfellbuckel rechts (Thorax pa) |
|
|
|
|
|
Halsrippen beidseits (Thorax pa) |
|
|
![]() |
![]() |
|
Trichterbrust: Dorsalverlagerung des Herzens (Thorax pa und links seitlich) |
|
|
|
|
![]() |
|
Trichterbrust: Dorsalverlagerung des Herzens mit Kompression des rechten Vorhofs und des rechten Ventrikels (Thorax-CT, o. und u.) |
|
|
|
|
|
Lobus venae azygos: Vena azygos (Pfeil) und Pleuraduplikatur (Doppelpfeil) durch in den rechten Oberlappen eingesenkte Vena azygos (Thorax ap liegend) |
|
|
|
|
|
Lobus venae azygos: Verlauf der Vena azygos (Pfeile) von rechts paravertebral nach anterior mit Einmündung in die Vena cava superior (Thorax-CT) |
|
|
|
|
|
|
|
Mitralringverkalkung (Pfeile; Thorax pa (o.) und links seitlich (u.)) |
|
|
|
|
|
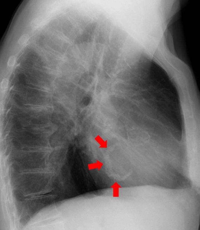
Verkalktes Vorderwandaneurysma (Pfeile; Thorax links seitlich) |
|
|
|
Mitralkonfiguriertes Herz bei kombiniertem Mitralvitium mit führender Stenose (Thorax pa) |
|
|
|
|
|
|
|
Perikarderguss: vor (o.) und nach (u.) Abpunktion von 1200 ml Erguss via Perikarddrainage (Thorax pa) |
|
|
|
|
|
Pneumoperikard: Luft im Perikardbeutel (Thorax pa) |
|
|
|
|
|
Perikardzyste (Pfeile) in Anlehnung an den rechten Vorhof (Thorax-CT) |
|
|
|
|
|
Ventrikelthrombus: Thromben in der Spitze sowohl des linken wie auch des rechten (Typ-B-Thrombus) Ventrikels, Dilatation des rechten Ventrikels infolge Lungenembolie, Pleuraerguss rechts (Thorax-CT) |
|
|
|
|
|
Myokarditis (Herzmuskelentzündung; Kernspintomographie des Herzens, Kardio-MRT) |
|
|
|
|
|
|
|
|
|
Computertomographische Darstellung der Herzkranzgefäße (Kardio-CT; o., M., u.) |
|
|
|
|
|
|
|
|
|
LV-Non-Compaction-Kardiomyopathie: pathologische Trabekularisierung mit tiefen Recessus vor allem der apikalen Wandabschnitte unter Aussparung des basalen Septums (Kernspintomographie, Kardio-MRT) |
|
|
|
|
|
Ausgedehnte Perikardverkalkung (Thorax-CT) |
|
|
|
|
|
Perikardverkalkung (Thorax-CT) |
|
|
|
|
|
|
|
|
|
Perikarditis constrictiva: zirkuläre Perikardverkalkung, Perikarderguss, Pleuraergüsse, klinisch Herzinsuffizienz NYHA (III-)IV; nach Perikardektomie NYHA I; (präoperativer Befund; oben: Thorax links seitlich; Mitte und unten: Thorax-CT) |
|
|
|
|
|
Bronchialkarzinom mit Einbruch (Pfeil) in den linken Vorhof; maligner Pleuraerguss links (Thorax-CT) |
|
|
|
|
|
Tumorzapfen einer pulmonalen Metastase eines Osteosarkoms, der über die rechte obere Lungenvene in den linken Vorhof hineinragt (Thorax-CT) |
|
|
|
|
|
Vorderer Mediastinaltumor: Non-Hodgkin-Lymphom; Kompression des rechten Ventrikels und Verdrängung des Herzens nach dorsal (Thorax-CT) |
Cookies
Bei Cookies handelt es sich um kleine Textdateien, die auf Ihrer Festplatte dem von Ihnen verwendeten Browser zugeordnet gespeichert werden und durch welche der Stelle, die den Cookie setzt, bestimmte Informationen zufließen.
Technisch notwendige Cookies
Diese Cookies sind notwendig, um die Grundfunktionen der Internetseite zu gewährleisten und können nicht deaktiviert werden. Üblicherweise werden sie als Antwort auf bestimmte Aktionen des Anwenders aktiviert, wie z. B. ein Login oder das Speichern der Datenschutzeinstellungen. Wenn Sie auch diese Cookies nicht wünschen, dann können Sie als Anwender grundsätzlich alle Cookies für diese Domain in den Browsereinstellungen unterbinden. Eine fehlerfreie Funktionalität dieser Internetseite kann dann aber nicht gewährleistet werden.
Verwendete Cookies:
Analytische Cookies
Diese Cookies werden für statistische Erhebungen eingesetzt und ermöglichen u. A. die Besucher dieser Seite und Seitenaufrufe zu zählen sowie die Herkunft der Seitenbesuche auszuwerten. Mit den Cookies sind wir in der Lage zu bestimmen, welche Inhalte unseren Besuchern am meisten gefallen und wie sie sich auf unserer Internetpräsenz bewegen.
Verwendete Cookies:
Funktionscookies
Diese Cookies ermöglichen eine bessere Funktionalität und eine Anpassung an Userpräferenzen z. B. für abgespielte Videos. Diese Cookies werden von externen Dienstleistern gespeichert. Die Deaktivierung dieser Cookies kann ausgewählte Funktionalitäten beeinflussen.
Verwendete Cookies:








