Mit einer über 35-jährigen Erfahrung ist die Klinik eines der ausgewiesensten Herzschrittmacher-Zentren in der Region. Der Chefarzt verfügt persönlich über eine über 25-jährige Erfahrung mit Herzschrittmacher-Implantationen. Je nach Art der zugrunde liegenden Herzrhythmusstörung werden Einkammer-, Zweikammer- oder Dreikammer-Schrittmacher der weltweit führenden Hersteller implantiert. Die individuelle Programmierung erfolgt EKG- und bei Bedarf Echokardiographie-gestützt durch langjährig erfahrene Fachärzte. Die Nachsorge wird garantiert über eine Herzschrittmacher-Ambulanz mit KV-Zulassung. Die Einbindung in externe Qualitätskontrollen belegt den hohen Qualitätsstandard der Implantationen.
![]() |
![]() |
|
Herzschrittmacher: 1-Kammer-Schrittmacher (o.), 2-Kammer-Schrittmacher (u.); jeweils bipolare Elektroden |
![]() |
![]() |
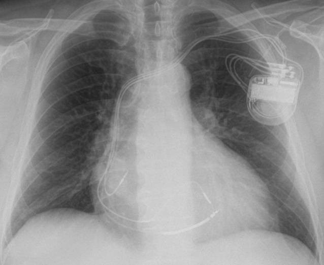
|
Dekompensierte Herzinsuffizienz mit Pleuraergüssen infolge AV-Block III mit Kammerfrequenzenzen um 32/min (oben; Thorax pa); Rekompensation nach Herzschrittmacher-Implantation (2-Kammer-Schrittmacher mit je einer bipolaren Elektrode im rechten Vorhof und im rechten Ventrikel; Thorax pa) |
|
|
|
Bei besonders gefährdeten Patienten werden in Umsetzung allgemein anerkannter Leitlinien nationaler und internationaler Fachgesellschaften Defibrillatoren (Einkammer-, Zweikammer-, Dreikammer-Defibrillatoren (CRT/kardiale Resynchronisationstherapie)) implantiert.
Defibrillatoren sind aufgerüstete Herzschrittmacher, die in der Lage sind, die gefährlichste Form der Herzrhythmusstörungen (Kammerflimmern) innerhalb von Sekunden zu erkennen und durch automatisierte Abgabe eines Elektroschocks zu beseitigen. Sie werden nur bei besonders gefährdeten Patienten implantiert. In Abhängigkeit von eventuell begleitenden sonstigen Rhythmusstörungen werden sie mit einer oder zwei intrakardialen Elektroden verwendet.
|
|
|
![]() |
|
Patient mit dilatativer Kardiomyopathie (DCM): Start einer Kammertachykardie (ventrikuläre Tachykardie, VT) |
|
|
![]() |
|
Patientin mit ischaemischer Kardiomyopathie (ICM): Kammerflattern mit Akzeleration / Degeneration in Kammerflimmern (VF); als Grundrhythmus besteht ein durchgängiges Schrittmacher-Pacing im VVI-Modus bei Vorhofflimmern mit Bradyarrhythmia absoluta |
|
|
![]() |
![]() |
|
Defibrillator (ICD): 1-Kammer-Defibrillator mit Single-Coil- (o.) bzw. Dual-Coil-Elektrode (u.) |
|
|
![]() |
|
Kammerflimmern wird durch automatisierte Schockabgabe beendet |
|
|
![]() |
|
Defibrillator (ICD): 2-Kammerdefibrillator mit bipolarer Elektrode im rechten Vorhof und bipolarer Elektrode in der rechten Kammer (Dual Coil) |
Bei erheblicher Herzschwäche und zusätzlichen intrakardialen Leitungsstörungen (Linksschenkelblock) wird die Pumpleistung des Herzens durch den blockbedingten asynchronen Kontraktionsablauf weiter verschlechtert. Bei solchen Patienten kann durch eine sogenannte biventrikuäre Stimulation der linken Kammer eine Resynchronisation des Kontraktionsverhaltens und damit eine Verbesserung der Pumpleistung erreicht werden (kardiale Resynchronisationstherapie CRT). Hierbei wird die linke Kammer gleichzeitig über zwei Elektroden (rechtsventrikuläre Elektrode und Coronarsinuselektrode) stimuliert.
![]() |
|
Defibrillator (ICD): 3-Kammerdefibrillator mit bipolaren Elektroden im rechten Vorhof sowie im Coronarsinus und bipolare Defibrillatorelektrode im rechten Ventrikel (Single Coil), kardiale Resynchronisations-Therapie (CRT-D) |
|
|
![]() |
|
Defibrillator (ICD): 3-Kammerdefibrillator mit bipolaren Elektroden im rechten Vorhof sowie im Coronarsinus und bipolare Defibrillatorelektrode im rechten Ventrikel (Dual Coil), kardiale Resynchronisations-Therapie (CRT-D) |
|
|
|
|
|
|
|
|
|
Persistierende linksseitige Vena cava superior: (a): ein während geplanter ICD-Versorgung über die linksseitige Vena subclavia vorgeschobener Führungsdraht verläuft über eine linkspersistierende Vena cava superior (Doppelpfeil) in den Sinus coronarius (Dreifachpfeil) und von dort in den rechten Vorhof (Pfeile; intraoperative Aufnahme pa; * rechts parasternal aufgeklebte Defi-Elektrode); (b): nach Kontrastmittelgabe über die linksseitige Vena subclavia stellen sich die linkspersistierende Vena cava superior sowie der erheblich dilatierte Sinus coronarius dar; (c): nach Kontrastmittelgabe über die rechtsseitige Vena subclavia stellt sich eine orthotop gelegene rechtsseitige Vena cava superior dar (Peile); Führungsdraht in der linksseitig persistierenden Vena cava superior. |
|
|
|
|
|
Linkspersistierende Vena cava superior in Kombination mit orthotop angelegter rechtsseitiger Vena cava superior: Vena jugularis interna-Katheter in der linkspersistierenden Vena cava superior; Defibrillator-Elektroden (bipolare Vorhofelektrode; bipolare Coronarsinuselektrode; bipolare pace-sense-/single-coil-RV-Elektrode) in der rechtsseitigen Vena cava superior: 3-Kammer-Defibrillator, kardiale Resynchronisations-Therapie (CRT-D) |
|
|
|
|
|
|
|
Defibrillator (ICD): 3-Kammerdefibrillator nach Umrüstung eines 2-Kammerschrittmachers (DDD) auf 3-Kammerdefibrillator mit kardialer Resynchronisations-Therapie (CRT-D). Die bereits liegende Vorhofelektrode (RA-Elektrode; DDD) wurde weiter verwendet, die liegende Kammerelektrode (RV-Elektrode; DDD) wurde stillgelegt. Neu implantiert wurde eine RV-Schock-Elektrode (single coil) und eine Coronarsinus-Elektrode (LV-Elektrode). |
|
|
|
|
|
|
|
3-Kammerschrittmacher (CRT-P): 3-Kammerschrittmacher nach Umrüstung eines 2-Kammerschrittmachers (DDD) auf 3-Kammerschrittmacher mit kardialer Resynchronisations-Therapie (CRT-P; 85-jähriger Patient mit AV-Block II, Linksschenkelblock, 85%iger RV-Stimulation, EF 30 und wiederholt dekompensierter Herzinsuffizienz). Die bereits liegende Vorhofelektrode (RA-Elektrode; DDD) und die liegende Kammerelektrode (RV-Elektrode; DDD) wurden weiter verwendet. Neu implantiert wurde eine bipolare Coronarsinus-Elektrode (LV-Elektrode; Pfeil). Nebenbefundlich aufgeklebte externe Defibrillationselektrode (Doppelpfeile) |
|
|
|
|
|
|
|
Kardiale Resynchronisationstherapie: Patient mit erheblicher Herzschwäche und Linksschenkelblock; Rückgang der Herzgröße und Verbesserung der Pumpleistung nach Implantation eines Defibrillators mit kardialer Resynchronisation (oben vor, unten nach Implantation eines 3-Kammer-Defibrillators, CRT-D) |
|
|
|
|
|
|
|
Kardiale Resynchronisationstherapie: Patient mit erheblicher Herzschwäche und Linksschenkelblock; Lagebeziehung von Vorhofelektrode, Schockelektrode (RV-Elektrode) und Coronarsinuselektrode (LV-Elektrode); (3-Kammer-Defibrillator, kardiale Resynchronisations-Therapie, CRT-D) |
|
|
|
|
|
|
|
|
|
|
|
Kardiale Resynchronisationstherapie: Patient mit erheblicher Herzschwäche und Linksschenkelblock; EKG oben (a): intrinsische Überleitung mit Linksschenkelblock; EKG Mitte oben (b): RV-Stimulation; Mitte unten (c): LV-Stimulation; unten (d): biventrikuläre Stimulation |
|
|
|
|
|
|
|
Dilatative Kardiomyopathie (DCM, EF 25 %) mit breitem Linksschenkelblock (182 ms), konsekutiv hochgradig asynchroner Kontraktionsablauf: dekompensierte Herzinsuffizienz mit Pleuraergüssen beidseits unter Herzinsuffizienztherapie, klinisch NYHA (III-) IV (o.;Thorax pa); nach Versorgung mit ICD mit biventrikulärer Stimulation (CRT-D) Rekompensation, klinisch NYHA II (-III); single coil – pace-sense-Schock-Elektrode im rechten Ventrikel, bipolare Vorhofelektrode im rechten Vorhof, quadripolare Elektrode im Sinus coronarius (u.; Thorax pa) |
|
|
|
|
|
|
|
|
|
|
|
|
|
|
|
|
|
|
|
|
|
Bei vermuteten aber im normalen EKG nicht zu dokumentierenden relevanten Herzrhythmusstörungen besteht die Möglichkeit zur Implantation von miniaturisierten EKG-Aufzeichnungsgeräten (Ereignis-Rekorder). Sie kommen zur Anwendung bei Patienten mit wiederholtem kurzzeitigen Bewusstseinsverlust (rezidivierenden Synkopen) und vermutetem passagerem Herzstillstand (Asystolien). Durch die Miniaturrekorder erfolgt eine automatische Aufzeichnung von relevanten bradykarden oder tachykarden Herzrhythmusstörungen. |
|
|
Cookies
Bei Cookies handelt es sich um kleine Textdateien, die auf Ihrer Festplatte dem von Ihnen verwendeten Browser zugeordnet gespeichert werden und durch welche der Stelle, die den Cookie setzt, bestimmte Informationen zufließen.
Technisch notwendige Cookies
Diese Cookies sind notwendig, um die Grundfunktionen der Internetseite zu gewährleisten und können nicht deaktiviert werden. Üblicherweise werden sie als Antwort auf bestimmte Aktionen des Anwenders aktiviert, wie z. B. ein Login oder das Speichern der Datenschutzeinstellungen. Wenn Sie auch diese Cookies nicht wünschen, dann können Sie als Anwender grundsätzlich alle Cookies für diese Domain in den Browsereinstellungen unterbinden. Eine fehlerfreie Funktionalität dieser Internetseite kann dann aber nicht gewährleistet werden.
Verwendete Cookies:
Analytische Cookies
Diese Cookies werden für statistische Erhebungen eingesetzt und ermöglichen u. A. die Besucher dieser Seite und Seitenaufrufe zu zählen sowie die Herkunft der Seitenbesuche auszuwerten. Mit den Cookies sind wir in der Lage zu bestimmen, welche Inhalte unseren Besuchern am meisten gefallen und wie sie sich auf unserer Internetpräsenz bewegen.
Verwendete Cookies:
Funktionscookies
Diese Cookies ermöglichen eine bessere Funktionalität und eine Anpassung an Userpräferenzen z. B. für abgespielte Videos. Diese Cookies werden von externen Dienstleistern gespeichert. Die Deaktivierung dieser Cookies kann ausgewählte Funktionalitäten beeinflussen.
Verwendete Cookies:















